Cum să-ți albești dinții în mod sigur și eficient
Albirea dentară: Ghid complet pentru un zâmbet strălucitor
7/23/20243 min read


Albirea dentară, sigură și eficientă
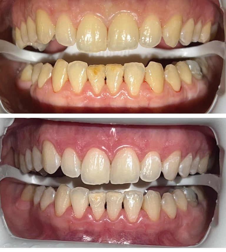
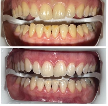
În cabinetul nostru prețul pentru albire dentară începe de la 650lei/arcadă sau 1100lei pentru ambele arcade. Albire dentară pentru ambele arcade are inclus în preț și manoperele de detartraj și airflow.
Albirea dentară: Ghid complet pentru un zâmbet strălucitor
Albirea dentară este una dintre cele mai populare proceduri estetice dentare, datorită capacității sale de a îmbunătăți semnificativ aspectul zâmbetului. Există mai multe metode de albire dentară, fiecare cu avantaje și dezavantaje. În acest articol, vom explora diferitele opțiuni de albire, beneficiile și riscurile asociate, și cum să menții rezultatele pe termen lung.
1. Metode de albire dentară
Albirea profesională în cabinet
Aceasta este cea mai eficientă metodă de albire dentară, realizată de către un medic dentist. Procedura implică aplicarea unui agent de albire puternic, cum ar fi peroxidul de hidrogen sau peroxidul de carbamidă, activat adesea cu ajutorul unei lămpi speciale sau laser. Albirea profesională oferă rezultate rapide și vizibile după o singură ședință, făcându-o ideală pentru cei care doresc un zâmbet strălucitor într-un timp scurt.
Albirea la domiciliu cu gutiere personalizate
Medicul dentist poate furniza gutiere personalizate și un gel de albire pentru utilizare acasă. Pacientul trebuie să poarte gutierele pentru un anumit interval de timp zilnic, de obicei câteva ore, timp de una până la două săptămâni. Această metodă este mai graduală, dar oferă control asupra procesului și reduce riscul de sensibilitate dentară.
Albirea cu produse disponibile în comerț
Există numeroase produse de albire disponibile în farmacii și magazine, cum ar fi benzi de albire, paste de dinți speciale, și geluri aplicate cu ajutorul unor aplicatoare. Acestea sunt mai accesibile, dar au o concentrație mai mică de agenți de albire, ceea ce le face mai puțin eficiente comparativ cu tratamentele profesionale.
2. Beneficiile albirii dentare
Îmbunătățirea esteticii zâmbetului
Un zâmbet alb și strălucitor poate îmbunătăți considerabil aspectul estetic, crescând încrederea în sine și stima de sine. Albirea dentară poate elimina petele și decolorările cauzate de consumul de cafea, ceai, vin roșu, tutun și alți factori.
Rezultate rapide și vizibile
Albirea dentară profesională oferă rezultate imediate și vizibile după o singură ședință, ceea ce o face ideală pentru ocazii speciale sau evenimente importante.
Procedură sigură și controlată
Atunci când este efectuată de un profesionist, albirea dentară este o procedură sigură și eficientă. Medicul dentist poate monitoriza procesul pentru a evita eventualele complicații și pentru a ajusta tratamentul în funcție de nevoile pacientului.
3. Riscuri și efecte secundare
Sensibilitatea dentară
Un efect secundar comun al albirii dentare este sensibilitatea dentară temporară. Aceasta poate apărea în timpul sau după tratament, dar de obicei dispare în câteva zile. Utilizarea unui gel desensibilizant și a unei paste de dinți pentru dinți sensibili poate ajuta la reducerea disconfortului.
Iritația gingivală
Albirea dentară poate provoca iritații ale gingiilor dacă gelul de albire intră în contact cu țesuturile moi. Este important ca procedura să fie efectuată cu atenție pentru a minimiza acest risc.
Rezultate inegale
În cazul dinților care au restaurări dentare (coroane, fațete, obturații), albirea dentară poate produce rezultate inegale, deoarece materialele dentare nu se albesc în același mod ca smalțul natural al dinților.
4. Menținerea rezultatelor albirii dentare
Pentru a menține rezultatele albirii dentare pe termen lung, este important să adopți obiceiuri bune de igienă orală și să eviți factorii care pot cauza decolorarea dinților:
Igiena orală corespunzătoare
Periajul dinților de două ori pe zi și folosirea aței dentare zilnic sunt esențiale pentru menținerea sănătății orale și a rezultatelor albirii.
Evitarea alimentelor și băuturilor colorante
Redu consumul de cafea, ceai, vin roșu, sucuri de fructe colorate și alimente cu pigmenți puternici care pot păta dinții.
Renunțarea la fumat
Fumatul este un factor major de risc pentru decolorarea dinților. Renunțarea la acest obicei va ajuta la menținerea unui zâmbet alb și sănătos.
Utilizarea paielor
Pentru a reduce contactul băuturilor colorate cu dinții, poți folosi paie atunci când bei cafea, ceai sau sucuri.
Concluzie
Albirea dentară este o procedură sigură și eficientă pentru îmbunătățirea esteticii zâmbetului. Indiferent de metoda aleasă, este important să discuți cu medicul dentist pentru a determina cea mai potrivită opțiune pentru tine și pentru a te asigura că procedura se desfășoară în condiții de siguranță maximă.


Urmărește-ne în social media
Program
Luni 8:00 - 13:00
Marți 15:30 - 20:00
Miercuri 8:00 - 13:00
Joi - Vineri 8:00 - 20:00